Брекеты вестибулярные сапфировые

Исправление прикуса в Москве

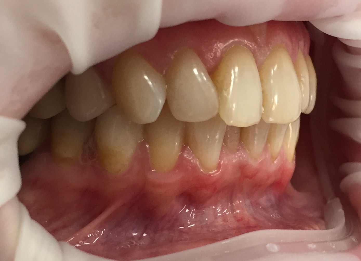
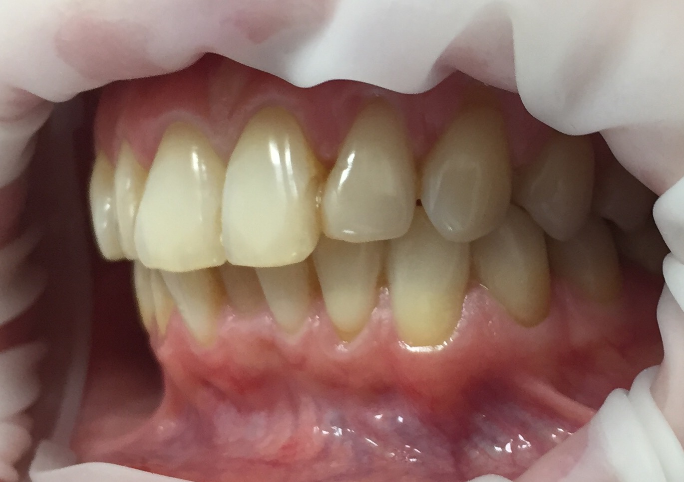
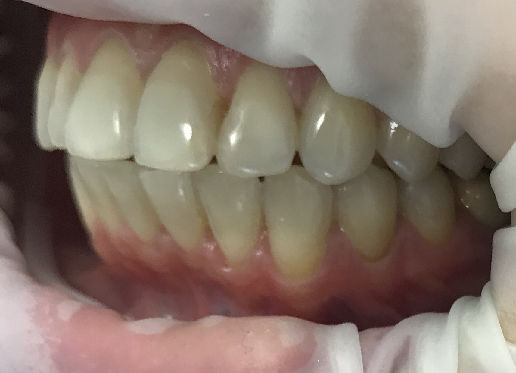
Сапфировая лигатурная брекет система - Inspire ICE – поколение эстетических брекетов System, преимуществом которых является абсолютная прозрачность и непревзойденная эстетика. Они не заметны на зубах с эмалью любого оттенка. Абсолютно гладкая поверхность повышает комфорт для пациента при ношении этих брекетов. Быстро и легко снимаются с поверхности эмали.

Запишитесь к врачу прямо сейчас

Оставьте свои данные и наши специалисты свяжутся с вами для уточнения времени приема.

Специалисты, проводящие данную услугу